प्रगत दंतवैद्यक शास्त्र
सध्याच्या आधुनिक तंत्रज्ञानाच्या युगामध्ये लोकांची आरोग्या बद्दलची जागरुकता वाढीस लागल्याचे दिसून येत आहे. यात दंत आणि मुख आरोग्याचाही अपवाद नाही .दंतवैद्यक शास्त्राला प्रगत तंत्रज्ञानाची सुयोग्य जोड मिळाल्यामुळे "दात काढून टाकणे" हा शेवटचा उपाय ठरू पाहत आहे. अगदी दहा-पंधरा वर्षांपूर्वीपर्यंत दात काढून टाकणं हाच सर्वमान्य उपाय होता परंतु आता मात्र, अगदी किडल्यामुळे दातांची फक्त मुळे जरी शिल्लक असली तरी त्यामध्ये नसे ची ट्रीटमेंट (रूट कॅनाल )करून दातांची उंची स्क्रूच्या साह्याने (पोस्ट अँड कोअर बिल्डअप )वाढवून दात पुन्हा कॅप (क्राऊन) लावून पूर्वस्थितीत आणता येतो .यानंतर गरज भासल्यास ,जेव्हा कीड हिरडीच्याही खालपर्यंत गेलेली असते (सब जिंजायवल) तेव्हा हिरडीचे छोटेसे ऑपरेशन (क्राउन लेंदनिंग )करून दाताची उंचीही वाढविता येते .या सर्व प्रक्रिया स्थानिक भुलीखाली (लोकल अनेस्थेशिया ) करता येतात .
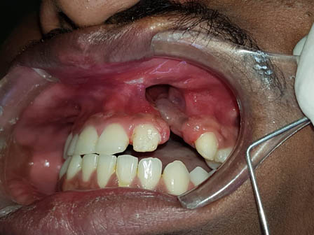
भूल कमीत कमी किंवा अगदी न देऊनही, लेझरच्या साहाय्यानेही विना वेदना ,विना रक्तस्त्रावही हिरडीवरील उपचार करता येतात. तसेच हिरड्यांमधून रक्त , पू,येते असेल,दात ढिले झालेलं असतील तर त्या हिरड्यांवरही योग्य वेळीच योग्य उपचार (फ्लॅप सर्जरी विथ और विदाऊट बोन ग्राफ्टिंग ) करता येते . परंतु दुर्दैवाने हिरड्या खराब झाल्यामुळे किंवा खूप किडल्यामुळे दात काढूनच टाकावा लागला तर त्या जागेवर स्क्रू चे रोपण करून ( इम्प्लांट) पुन्हा पक्का दात बसविता येतो. याच पद्धतीने सर्वच्या सर्व दातही (संपूर्ण कवळीही) बसविता येते. मात्र यासाठी आधुनिक तंत्रज्ञानाची मदत घ्यावी लागत असल्यामुळे या पद्धती थोड्या खर्चिक असतात.
याशिवाय माणसाच्या उत्क्रांती मुळे कमी होणाऱ्या जबड्यांच्या आकारावर दातांची संख्या तेवढीच म्हणजे 32 राहिल्यामुळे सर्वात शेवटी उगवणाऱ्या अक्कलदाढा अडकल्यामुळे ,किंवा तिरक्या उगवल्यामुळे, बहुतांशी रुग्णांना शस्त्रक्रिया (ऑपरेशन) करून काढून टाकाव्या लागतात. अन्यथा या दाढांमुळे, पुढचे सर्व दात वाकडेतिकडे होण्याची किंवा पुढे येण्याची शक्यता असते.
अशा प्रकारच्या अक्कलदाढा तसेच जबड्यांचे फ्रॅक्चर्स इत्यादी पाहण्यासाठी एक विशिष्ट ओपीजी (OPG) नावाचा एक्स-रे ही काढता येतो. तसेच कधीकधी तोंड उघड बंद करताना जबड्याच्या संधीचा कटकट असा आवाज येतो किंवा दुखणे सुरू होते त्यासाठी लागणारऱ्या टी एम जे व्ह्यू (TMJ view)ची एक्स-रे ची ही सोय उपलब्ध असते.
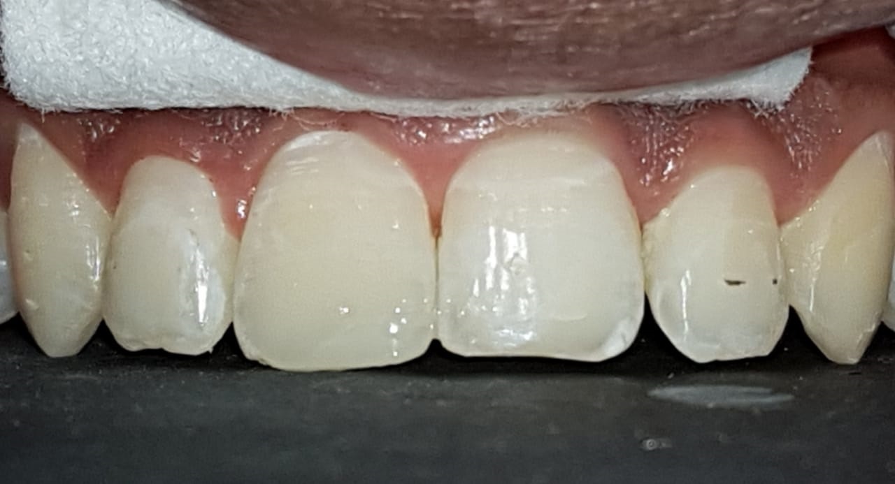
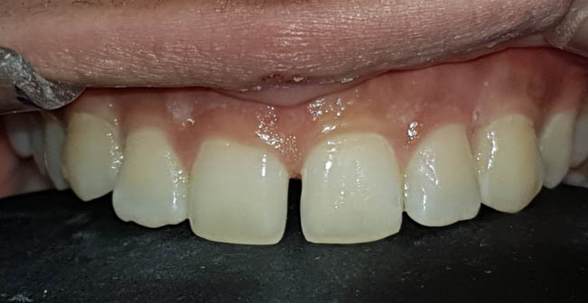
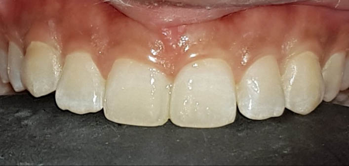
समोरचे दात जर किडलेले असतील तर त्यामध्ये दातांच्या रंगाचे फिलिंग (कंपोझिट) करता येते. खूपच किडलेल्या दातांना रूट कॅनाल ट्रीटमेंट करून, अगदी हुबेहूब नैसर्गिक दिसणारे सिरामिक किंवा झिरर्कॉनियम चे दातही बसविता येतात .
तंबाखू विशेषतः गुटखा, मावा खाल्ल्यामुळे हल्लीची तरुण पिढी, ज्यांच्यावर भारताचे उज्वल भविष्य अवलंबून आहे, तोंड कमी उघडणे, साधे जेवणही खूप तिखट लागणे, तोंडाला लाल/पांढरे चट्टे किंवा रेषा उमटणे, सतत फोड येणे या गोष्टींना बळी पडत आहेत.गुटखा, मावा वेळीच बंद न केल्यास कर्करोग (कॅन्सर) लाही सामोरे जावे लागते. मात्र यावर ही सवय बंद करून, काही औषधे तसेच इंजेक्शन्स घेतल्यास, जलद गतीने आराम पडून तोंड उघडणे पूर्ववत होऊ शकते.
याशिवाय आजकालची प्रमुख समस्या म्हणजे पुढे आलेले दात किंवा दात वाकडेतिकडे असणे, दातांमध्ये फटी असणे की ज्यामुळे तुमचा चेहरा, तुमचं हसणं विद्रूप तर दिसतंच पण त्यामुळे खाताना, गिळताना, बोलतानाही त्रास होतो तो वेगळाच ... यावर दंततव्यगोपचार (ऑर्थोडोंटिक) हे प्रभावी माध्यम (उपचार) आहे. दाताना क्लिप्स लावून असे वाकडे तिकडे दात सरळ रेषेत येतात, पुढे आलेले दात मागे नेता येतात, दातातील फटीही बंद करता येतात. याशिवाय, जास्त वाढलेला जबड्यांची दुरुस्तीही योग्य तऱ्हेने करता येते. वाढीचे वय संपून गेल्यानंतरही, प्रौढांनाही कमी किंवा जास्त वाढलेल्या जबड्यावर शस्त्रक्रिया करून सुंदर चेहरा मिळविता येतो. उपचार चालू असताना अवघडल्यासारखे (awkward) वाटू नये म्हणून विशेषतः प्रौढांना, दातांच्या रंगाच्या, कमीत कमी दिसणाऱ्या क्लिप्स ही उपलब्ध आहेत. याच सोबत अलायनर्स(aligners)म्हणजे अजिबात न दिसणाऱ्या क्लिप्स सुद्धा उपलब्ध आहेत.
या सर्व सुविधा आपल्या डॉ. मिसाळ डेंटल आणि आयुर्वेद सेंटर मध्ये गेल्या 24 वर्षांपासून उपलब्ध आहेत ...
Dr.Misal Dental and Ayurved Center has helped create happier, healthier,Beautiful smiles for the past 17 years. Ever since Dr.Abhijit Misal set up this dental practice in 1997, in Ahmednagar. Dr.Misal Dental Care has continuously kept pace with modern times. We have developed a state of the art dental facility in Ahmednagar, incorporated the latest advances in dental technology and most importantly, established a group of highly skilled and motivated dental professionals to look after you.
We offer a wide range of dental services from simple restorations and cosmetic procedures to orthodontics and dental Implantology. We have a very practical approach to planning and executing our dental Servicess, which is centered around the concerns of our patients.
is important to us that we understand your dental needs, so that we can work together to make sure your smile is always at its best.





Cosmetic Dentistry is something that deals primarily with aesthetics of the face and creation of a beautiful smile.
We do Composite( tooth colored )fillings, Laminates, veneers, Thineers, Laminates etc.
Prosthodontics refers to the replacement of missing teeth. Crowns and bridges are placed. made up of metail or ceramic,designed to look exactly like natural teeth. Option such as zirconia, E-mac and Lava (5 to 15 years gurantee) are available as well as implants-the most contemporary way to replace single, multiple or all teeth.
Can we dentists improve your smile?
From subtle changes to major repairs, we can perform a variety of procedures to improve your smile. There are many techniques and options to treat teeth that are discolored, chipped, misshapen or missing the dentist can reshape your teeth, close spaces, restore worn or short teeth or alter the length of your teeth. Common procedures include bleaching, bonding, caps, crowns, veneers, and reshaping and contouring.
These improvements are not always cosmetic. Besides improving your self esteem and enhancing your career Prospects it also helps to find a cuter spouse!
ahmednagarcity.in provide various offers to the business professionals who need to promote their concern in the local directory(with in Ahmednagar).
In certain business directory, they post the contact details of the local shops and concerns for free of cost. In order to post few more details about the concern various offers and announcements, they need to pay a little to the concerned local directory sites. Similarly, by paying few more they can post photos, videos, catalogues, menus and can track and manage the business listings. They avail very many affordable advertising solutions to generate leads. The expertise technical team regularly upgrades the details and improves the services for the user there upon assures sizable leads for the business concerns.
All text, images, logos and information contained on Ahmednagarcity.in websites are the intellectual property of business owner and Ahmednagarcity.in. The owner has exclusive right to reproduce, distribute, perform, display or license any given work and they may not be used or reproduced without permission.